The 3-Minute Rule for LANAP Laser Treatment - DrPhyllis Cook, DDS, MPH
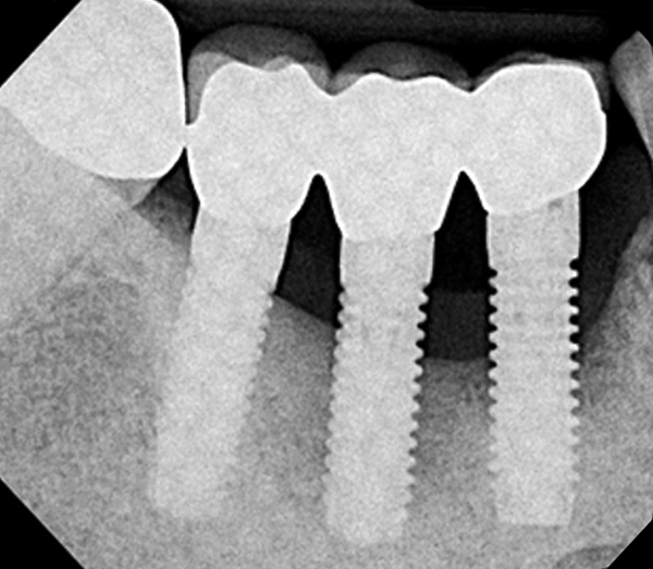
Can LAPIP Treat Peri-Implantitis? - Advanced Dental Arts NYC
How LAPIP (Laser Peri-Implantitis Treatment) to save Dental can Save You Time, Stress, and Money.
If any medications are causing you extreme queasiness, itching, or a rash; discontinue its usage and call our workplace instantly. 5. Rest with your head elevated when you get to house after the procedure. Find Out More Here ask that you please limit your physical activity and keep transferring to a minimum for the very first 24-hours.

Millennium Dental Technologies: Helping Clinicians Stem the Tide of Failing Implants - Volume 34, Issue 8 - Compendium
Keep your mouth as clean as possible in order to help the recovery procedure. Only brush and floss the unattended area of your mouth. 7. You might gently wash your mouth the day of treatment. Rinse your mouth gently 3 times a day with an antibacterial mouthwash. In in between the antibacterial mouthwash rinses, wash your mouth carefully 3 times a day with warm salt water (1/2 teaspoon of salt liquified in an 8oz.
For the next numerous days rinse as formerly discussed but with a bit more vitality. 8. You will be on a liquid diet plan for 3 days (avoid spicy or exceedingly hot foods during this time), then a diet of "mushy"/ soft foods for 7 days, and then a diet of smart food options for the rest of the month.

LANAP & LAPIP - Steve CDavis, D.M.D., P.C- Montgomery Alabama
The Single Strategy To Use For LAPIP-protocol-glow - Pro Soft Implantology & Periodontics

Attempt to consume soft however nutritious food such as eggs, yogurt, home cheese, malts, ice cream, and so on, till you can conveniently return to a regular diet. Please refer to the Post Laser Treatment Diet Plan Recommendations on the reverse side. 9. When consuming, do not chew on the laser dealt with side of your mouth.
10. Do not be alarmed that as early as 2 weeks after laser treatment and extending as long as 1 year or more, your teeth may end up being aching and tender as the bone and ligaments around the teeth regenerate and become more firm. This signifies healing, however likewise suggests the existence of a bite imbalance that may require to be changed.
11. "Spaces" in between your teeth can result from decrease of swelling, swelling, and the removal of diseased tissue after the Laser treatment. These areas usually fill in over time, and once again, bite adjustment is important to making sure your teeth and gum between your teeth is not shocked and can grow back.